Table of Contents



Washington University Experience | PERIPHERAL NEUROPATHY | 19 TRAUMATIC INJURIES | 16C9 (Case 16) L PIN nerve_038 - Copy

16C9 (Case 16) L PIN nerve_038 - Copy
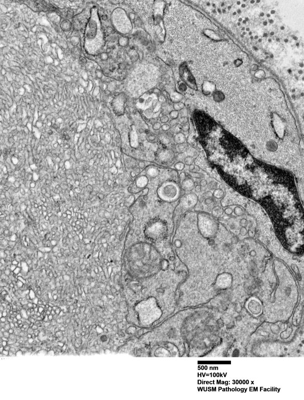
Higher magnification of image #16C8. (electron micrograph)


Gallery RSS RSS Feed | Archive View | Login | Powered by Zenphoto