Table of Contents
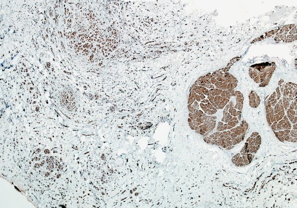
Washington University Experience | PERIPHERAL NEUROPATHY | 19 TRAUMATIC INJURIES | 17B1 Neuroma, traumatic (Case 17) NF 3
17B1,2 There is a close association of normal appearing fascicles with heavily innervated mini-fascicles. (NF IHC)
