Table of Contents
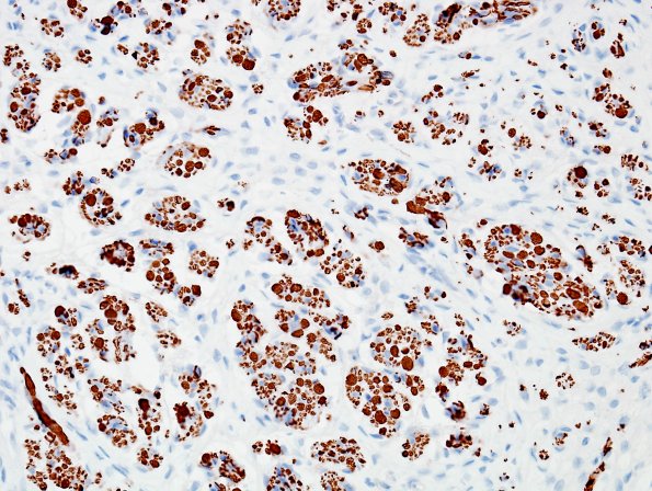
Washington University Experience | PERIPHERAL NEUROPATHY | 19 TRAUMATIC INJURIES | 17B2 Neuroma, traumatic (Case 17) NF 2
There is a close association of normal appearing fascicles with heavily innervated mini-fascicles. (NF IHC)
