Table of Contents
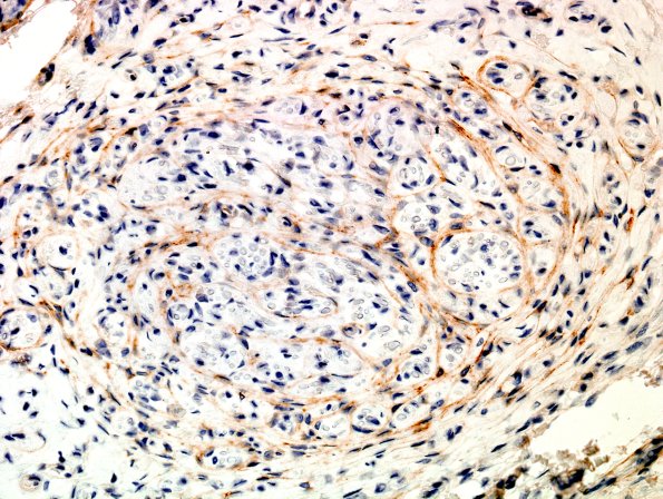
Washington University Experience | PERIPHERAL NEUROPATHY | 19 TRAUMATIC INJURIES | 17C1 Neuroma, traumatic (Case 17) EMA 1
17C1,2 Immunohistochemical stains for EMA (epithelial membrane antigen) highlights the perineurium of the normal nerve and shows many mini-fascicles of the neuroma with a thin perineurium. (EMA IHC)
