Table of Contents
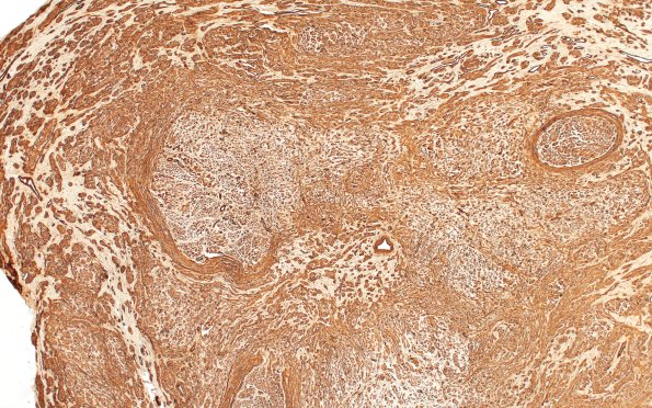
Washington University Experience | PERIPHERAL NEUROPATHY | 19 TRAUMATIC INJURIES | 18A1 Neuroma (Case 18) Coll IV 4X
Case 18 History ---- The patient is a 74 year old woman with a history of median nerve injury of the right wrist. Operative procedure: Right median nerve graft with excision of neuroma. ---- 18A1,2 The same area revealing a morass of haphazard Schwann, perineurial and vascular processes. (Coll IV IHC)
