Table of Contents
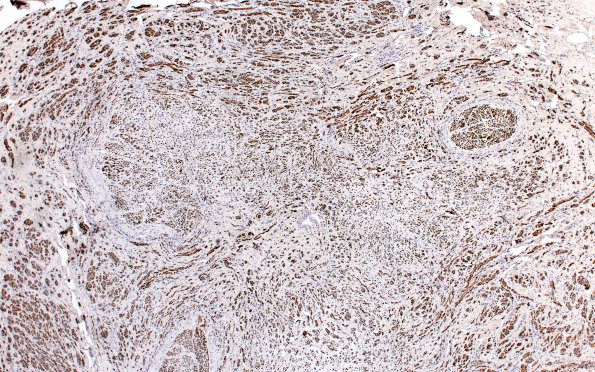
Washington University Experience | PERIPHERAL NEUROPATHY | 19 TRAUMATIC INJURIES | 18B1 Neuroma (Case 18) NF 4X
18B1,2 In this case there is a profoundly haphazard proliferation of axons collected into fascicles, mini-fascicles and possibly individual axons. (NF IHC)
