Table of Contents
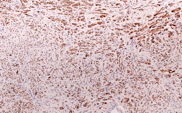
Washington University Experience | PERIPHERAL NEUROPATHY | 19 TRAUMATIC INJURIES | 18B2 Neuroma (Case 18) NF 10X
In this case there is a profoundly haphazard proliferation of axons collected into fascicles, mini-fascicles and possibly individual axons. (NF IHC)
