Table of Contents
Washington University Experience | PERIPHERAL NEUROPATHY | 19 TRAUMATIC INJURIES | 19B1 Trauma (Case 19) Plastic 8 copy.jpg
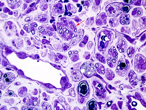
19B1-3 The lesion is represented by degeneration, regeneration, and macrophages in large numbers. There are large collections of axons (arrows) which appear to be much larger than typical regenerating clusters following degeneration of individual axons. It is possible that these structures represent an endoneurial mini-fascicle which is enclosed by perineurium; however, that is a difficult call in plastic sections (or even by ultrastructure). The separation of Schwann from perineurial cells is most definitively accomplished with EMA immunohistochemistry but in this old case that test was not performed. (Toluidine blue stained one micron thick plastic embedded sections)
