Table of Contents
Washington University Experience | PERIPHERAL NEUROPATHY | 19 TRAUMATIC INJURIES | 19B2 Trauma (Case 19) Plastic 9 copy.jpg
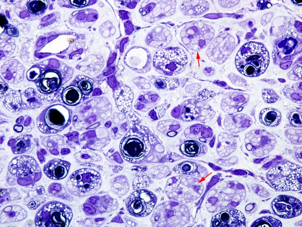
The lesion is represented by degeneration, regeneration, and macrophages in large numbers. There are large collections of axons (arrows) which appear to be much larger than typical regenerating clusters following degeneration of individual axons.
