Table of Contents
Washington University Experience | PERIPHERAL NEUROPATHY | 19 TRAUMATIC INJURIES | 19B3 Trauma (Case 19) Plastic 21 copy.jpg
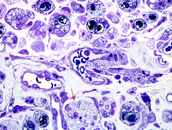
The lesion is represented by degeneration, regeneration, and macrophages in large numbers. There are large collections of axons (arrows) which appear to be much larger than typical regenerating clusters following degeneration of individual axons.
