Table of Contents
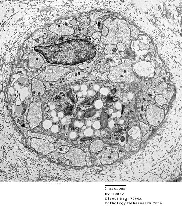
Washington University Experience | PERIPHERAL NEUROPATHY | 19 TRAUMATIC INJURIES | 19C1 Trauma (Case 19) EM 012 - Copy
19C1-7 Ultrastructural examination of the axonal collections shown in the previous plastic sections. (Electron micrographs) ---- 19C1 This group of axons and Schwann cell processes shows a cell with metabolized lipid and pi granules in what may be a macrophage or Schwann cell cytoplasm. (Electron micrograph)
