Table of Contents
Washington University Experience | PERIPHERAL NEUROPATHY | 19 TRAUMATIC INJURIES | 19C2 Trauma (Case 19) EM 017 - Copy
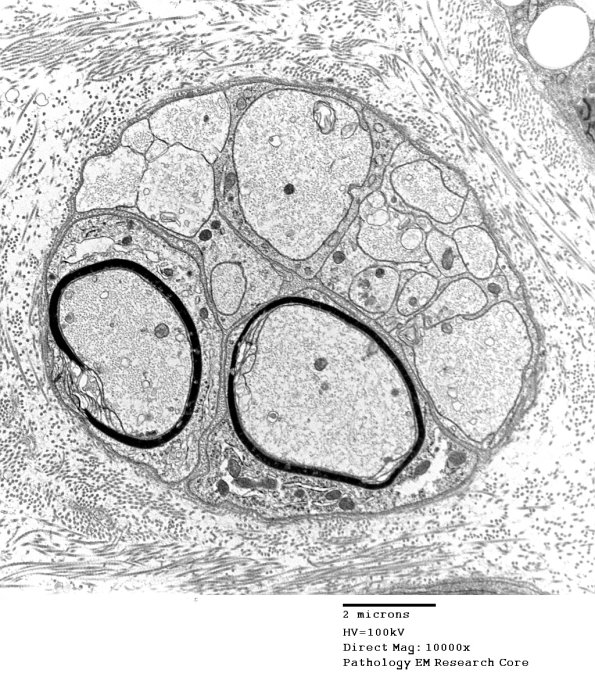
19C2,3 Early remyelination of some axons in this group. In this case it is easier to accept this structure as a regenerating cluster but I don’t know of a simple feature permitting separation by ultrastructure. The basement membrane seen here is present in both Schwann cells and perineurial cells.
