Table of Contents
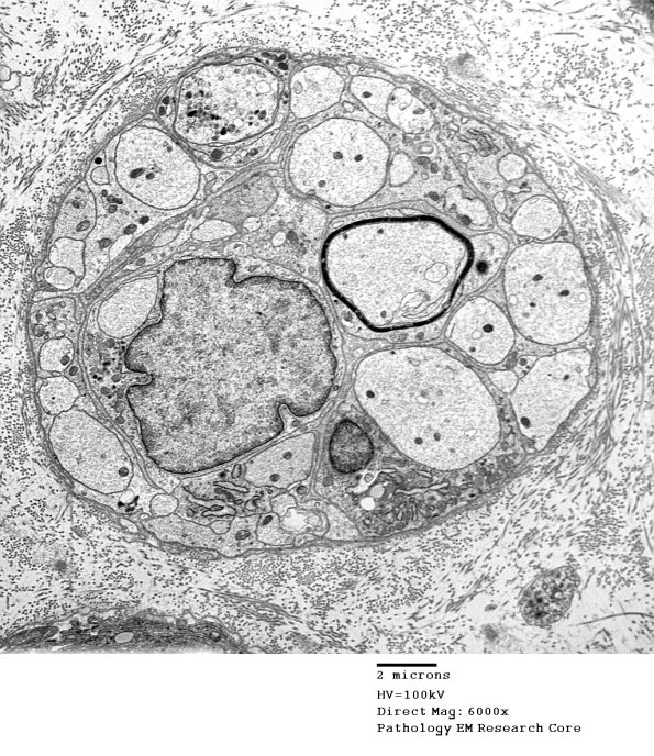
Washington University Experience | PERIPHERAL NEUROPATHY | 19 TRAUMATIC INJURIES | 19C4 Trauma (Case 19) EM 019 - Copy
This collection of axons is between a regenerative cluster and a mini-fascicle but a clear trauma-produced structure in any case. (Electron micrograph)
