Table of Contents



Washington University Experience | PERIPHERAL NEUROPATHY | 19 TRAUMATIC INJURIES | 19C7 Trauma (Case 19) EM 022 - Copy

19C7 Trauma (Case 19) EM 022 - Copy
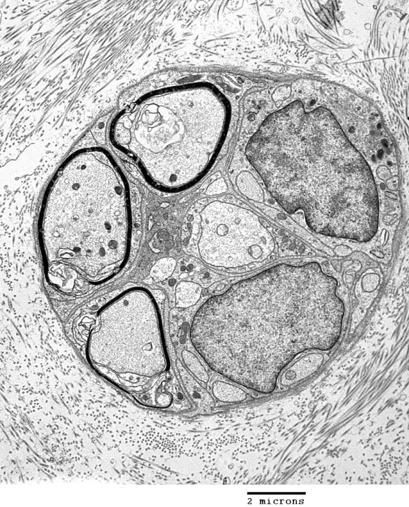
Additional examples of traumatic axonal injury. (Electron micrographs)


Gallery RSS RSS Feed | Archive View | Login | Powered by Zenphoto