Table of Contents
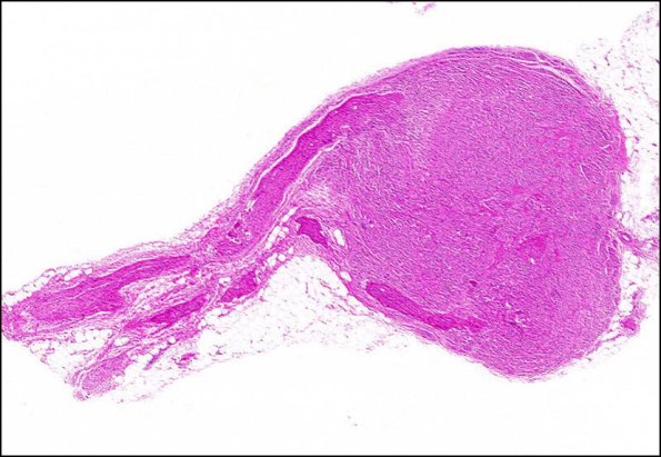
Washington University Experience | PERIPHERAL NEUROPATHY | 19 TRAUMATIC INJURIES | 1A1 Neuroma, traumatic (Case 1) H&E 2X
Case 1 History ---- The patient is a 62 year old woman with right ulnar nerve compression. Operative procedure: Transposition. ---- 1A1,2 At the end of this peripheral nerve is a haphazard proliferation of Schwann cells and nerve fibers with admixed collagen, forming a terminal nodular structure on the proximal nerve stump. (H&E)
