Table of Contents
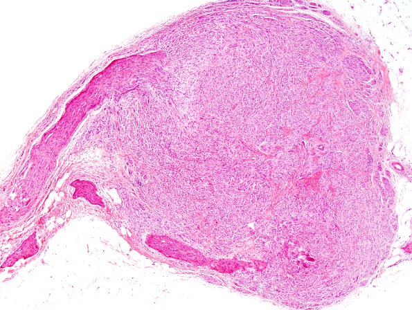
Washington University Experience | PERIPHERAL NEUROPATHY | 19 TRAUMATIC INJURIES | 1A2 Neuroma, traumatic (Case 1) H&E 1A
At the end of this peripheral nerve is a haphazard proliferation of Schwann cells and nerve fibers with admixed collagen, forming a terminal nodular structure on the proximal nerve stump. (H&E)
