Table of Contents
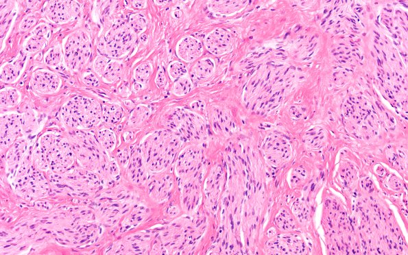
Washington University Experience | PERIPHERAL NEUROPATHY | 19 TRAUMATIC INJURIES | 1A4 Neuroma, traumatic (Case 1) H&E 20X 2
This is a typical textbook example of a “traumatic neuroma” with numerous tiny ‘mini-fascicles’ surrounded by thick collagen. (H&E)
