Table of Contents
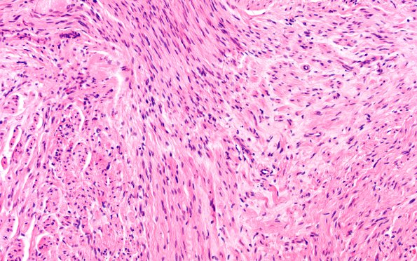
Washington University Experience | PERIPHERAL NEUROPATHY | 19 TRAUMATIC INJURIES | 1A5 Neuroma, traumatic (Case 1) H&E 20X
Notice that there are other histologic appearances with a different more confused proliferation of elements in this neuroma consisting of irregular fibrous connective tissue admixed with axons. (H&E)
