Table of Contents
« prev
next »
Washington University Experience
|
PERIPHERAL NEUROPATHY
|
19 TRAUMATIC INJURIES
|
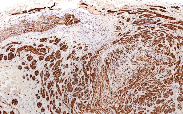
1B2 Neuroma, traumatic (Case 1) NF 10X
1B2,3 Axons are collected into mini-fascicles within some areas of the neuroma. (NF IHC)
Image Info
Camera Maker:
Olympus
Camera Model:
DP74
Shutter Speed:
23/50000 sec
Metering Mode:
Multi-Spot
Gallery RSS
|
Archive View
|
Login
|
Powered by
Zenphoto