Table of Contents
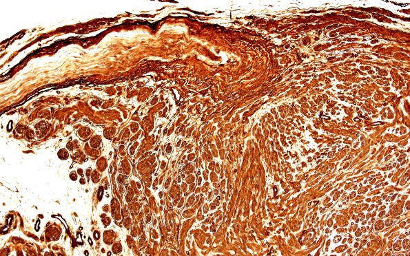
Washington University Experience | PERIPHERAL NEUROPATHY | 19 TRAUMATIC INJURIES | 1C2 Neuroma, traumatic (Case 1) CollIV 10X
1C2-5 Collagen IV stains many elements in the neuroma (perineurium, Schwann cells) as well as the vasculature. (Coll IV IHC)
