Table of Contents
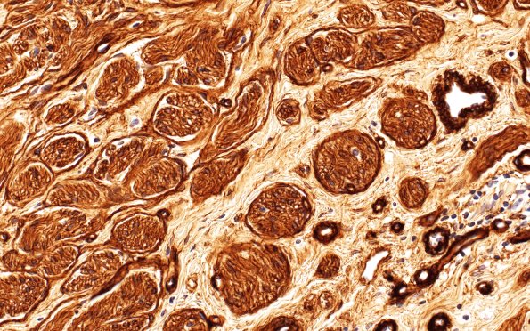
Washington University Experience | PERIPHERAL NEUROPATHY | 19 TRAUMATIC INJURIES | 1C4 Neuroma, traumatic (Case 1) Coll IV 40X
Collagen IV stains many elements in the neuroma (perineurium, Schwann cells) as well as the vasculature. (Coll IV IHC)
