Table of Contents
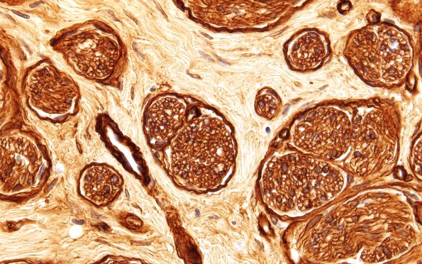
Washington University Experience | PERIPHERAL NEUROPATHY | 19 TRAUMATIC INJURIES | 1C5 Neuroma (Case 1) 100X EMA 5
Collagen IV stains many elements in the neuroma (perineurium, Schwann cells) as well as the vasculature. (Coll IV IHC)
