Table of Contents
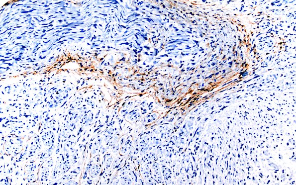
Washington University Experience | PERIPHERAL NEUROPATHY | 19 TRAUMATIC INJURIES | 1D2 Neuroma, traumatic (Case 1) EMA 20X
1D2-5 Nonetheless, in many areas there is preservation of a delicate delimiting EMA immunoreactive perineurial membrane surrounding each mini-fascicle. (EMA IHC)
