Table of Contents
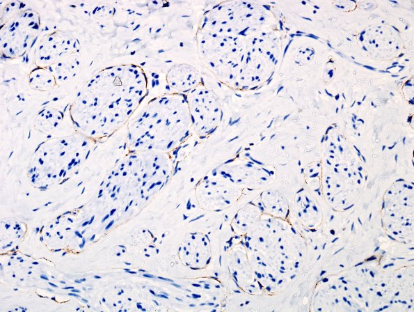
Washington University Experience | PERIPHERAL NEUROPATHY | 19 TRAUMATIC INJURIES | 1D3 Neuroma (Case 1) EMA 1
In many areas there is preservation of a delicate delimiting EMA immunoreactive perineurial membrane surrounding each mini-fascicle. (EMA IHC)
