Table of Contents
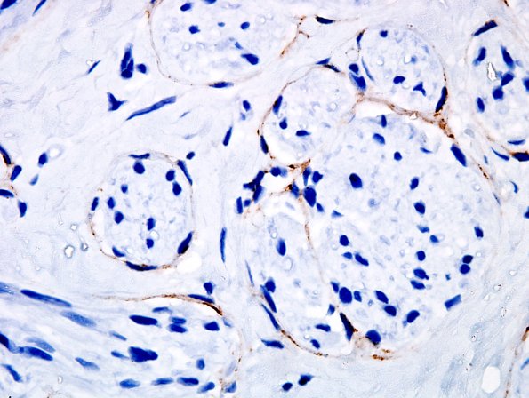
Washington University Experience | PERIPHERAL NEUROPATHY | 19 TRAUMATIC INJURIES | 1D4 Neuroma (Case 1) 100X EMA 2
Nonetheless, in many areas there is preservation of a delicate delimiting EMA immunoreactive perineurial membrane surrounding each mini-fascicle. (EMA IHC)
