Table of Contents



Washington University Experience | PERIPHERAL NEUROPATHY | 19 TRAUMATIC INJURIES | 1E1 Neuroma, traumatic (Case 1) Trichrome-1

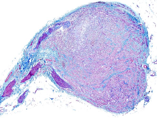
1E1 Neuroma, traumatic (Case 1) Trichrome-1
A trichrome stain highlights the admixed fibrosis. (Trichrome)


Gallery RSS RSS Feed | Archive View | Login | Powered by Zenphoto