Table of Contents
« prev
next »
Washington University Experience
|
PERIPHERAL NEUROPATHY
|
19 TRAUMATIC INJURIES
|
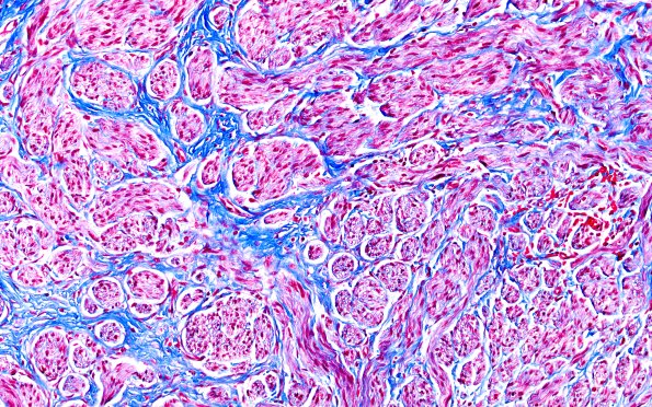
1E4 Neuroma, traumatic (Case 1 TRI 20X 2
Each mini-fascicle is surrounded by variable amounts of collagen. (Trichrome)
Image Info
Camera Maker:
Olympus
Camera Model:
DP74
Shutter Speed:
41/29927 sec
Metering Mode:
Multi-Spot
Gallery RSS
|
Archive View
|
Login
|
Powered by
Zenphoto