Table of Contents
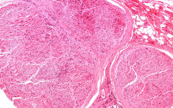
Washington University Experience | PERIPHERAL NEUROPATHY | 19 TRAUMATIC INJURIES | 20A1 Suprascapular nerve (Case 20) H&EBlkB 10X
Case 20 History ---- The patient is a 49 year old woman status post brachial plexus injury. Operative procedure: Exploration of brachial plexus. ---- 20A1,2 H&E stained sections of the suprascapular nerve (neurosurgical specimen block B) show perivascular acute inflammatory cells in the endoneurium and perineurium, unaccompanied by other signs of tissue damage or necrosis. (H&E)
