Table of Contents
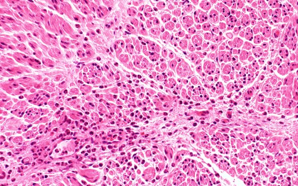
Washington University Experience | PERIPHERAL NEUROPATHY | 19 TRAUMATIC INJURIES | 20A2 Suprascapular nerve (Case 20) H&EBlkB 40X 2
H&E stained sections of the suprascapular nerve (neurosurgical specimen block B) show perivascular acute inflammatory cells in the endoneurium and perineurium, unaccompanied by other signs of tissue damage or necrosis. (H&E)
