Table of Contents
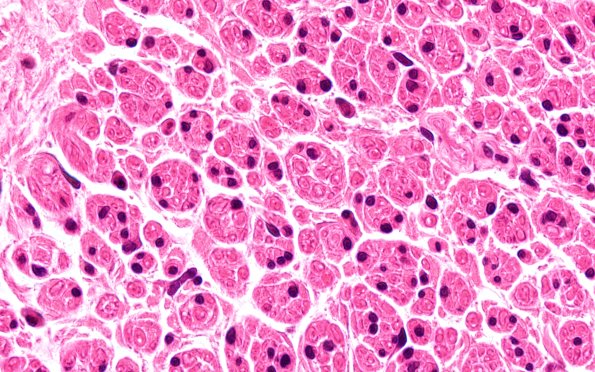
Washington University Experience | PERIPHERAL NEUROPATHY | 19 TRAUMATIC INJURIES | 20A3 Suprascapular nerve (Case 20) H&EBlkB 100X 1
This image shows the endoneurium of the essentially intact fascicles in 20A1,2 (neurosurgical specimen block B). The axons are present as well preserved clusters but do not have the appearance of regenerative clusters expected following cycles of axonal degeneration and regeneration nor do they resemble mini-fascicles of a neuroma. (H&E)
