Table of Contents
Washington University Experience | PERIPHERAL NEUROPATHY | 19 TRAUMATIC INJURIES | 20B1 Suprascapular nerve (Case 20) Plastic B-1 40X 1.jpg
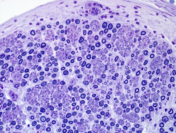
20B1-4 At first glance the plastic sections appear to show regenerative clusters/mini-fascicles consisting of small, thinly myelinated axons, such as can be seen adjacent to an area of damage but there is little damage or substantial axon loss to produce such large reactive structures. (Plastic sections)
