Table of Contents
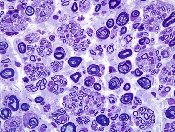
Washington University Experience | PERIPHERAL NEUROPATHY | 19 TRAUMATIC INJURIES | 20B4 Suprascapular nerve (Case 20) Plastic B-1 100X 16.jpg
At first glance the plastic sections appear to show regenerative clusters/mini-fascicles consisting of small, thinly myelinated axons, such as can be seen adjacent to an area of damage but there is little damage or substantial axon loss to produce such large reactive structures. (Plastic sections)
