Table of Contents
Washington University Experience | PERIPHERAL NEUROPATHY | 19 TRAUMATIC INJURIES | 20C1 Suprascapular nerve (Case 20) Plastic B-2 40X 1
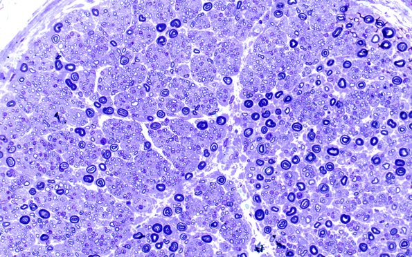
20C1-3 In this area away from the inflammatory infiltrate there are also collections of axons which appear clustered. Rather than this representing an endoneurial neuroma or regenerative cluster, I think that, like the anterior interosseous nerve (AIN, shown in “other nerves” earlier in the atlas), the suprascapular nerve may normally have this distinctive pattern. EMA immunohistochemistry would have been useful in this old case. (Toluidine blue stained one-micron thick plastic section)
