Table of Contents
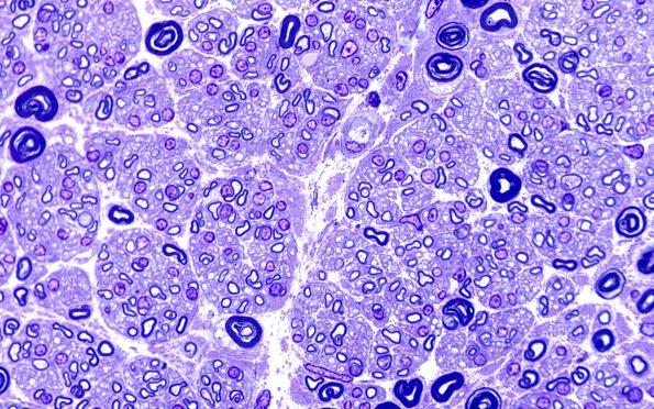
Washington University Experience | PERIPHERAL NEUROPATHY | 19 TRAUMATIC INJURIES | 20C3 Suprascapular nerve (Case 20) Plastic B-2 100X 2
In this area away from the inflammatory infiltrate there are also collections of axons which appear clustered. Rather than this representing an endoneurial neuroma or regenerative cluster, I think that, like the anterior interosseous nerve (AIN, shown in “other nerves” earlier in the atlas), the suprascapular nerve may normally have this distinctive pattern.
