Table of Contents
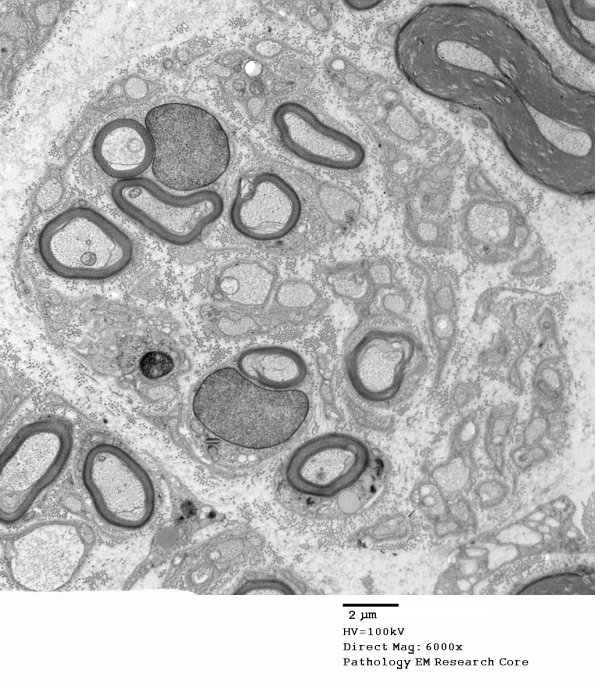
Washington University Experience | PERIPHERAL NEUROPATHY | 19 TRAUMATIC INJURIES | 20D3 Suprascapular nerve (Case 20) EM 038A - Copy
A number of examples of the aggregated small myelinated and unmyelinated axons which are not accompanied by significant loss of large myelinated axons. (Electron micrographs)
