Table of Contents
Washington University Experience | PERIPHERAL NEUROPATHY | 19 TRAUMATIC INJURIES | 20D6 Suprascapular nerve (Case 20) EM Neuroma_043A - Copy
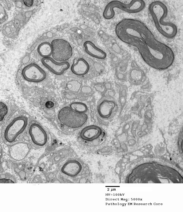
A number of examples of the aggregated small myelinated and unmyelinated axons which are not accompanied by significant loss of large myelinated axons. (Electron micrographs)
