Table of Contents
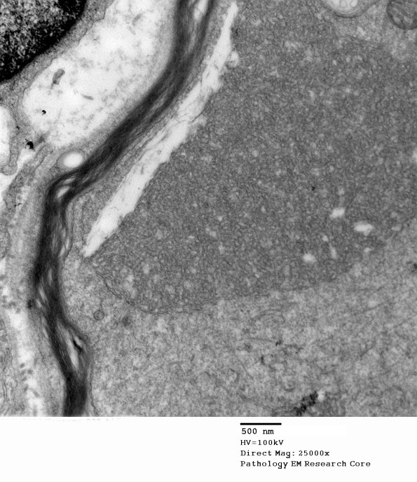
Washington University Experience | PERIPHERAL NEUROPATHY | 19 TRAUMATIC INJURIES | 20E4 Suprascapular nerve (Case 20) EM 025A - Copy
There does appear to be unmyelinated axon loss in this nerve and, surprisingly, there are numerous dystrophic axons with compact tubulovesicular elements. (electron micrographs)
