Table of Contents
Washington University Experience | PERIPHERAL NEUROPATHY | 19 TRAUMATIC INJURIES | 21A Renaut bodies (Case 21) H&E 1
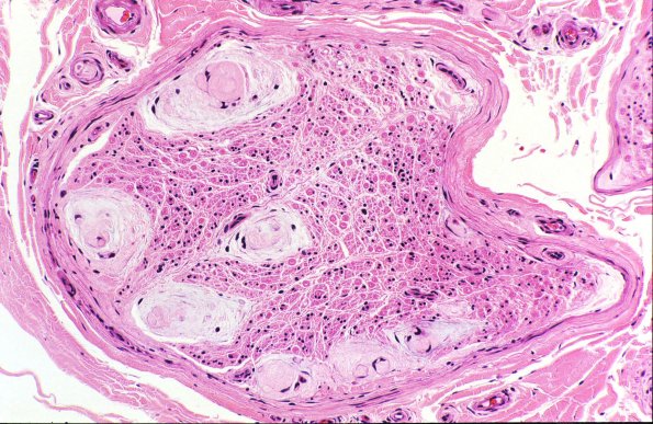
Case 21 No History ---- 21A I include this fascicle with numerous Renaut bodies to remind me that they have been proposed to represent a reaction to chronic traumatic compression. My own experience is that most Renaut bodies are not compellingly associated with chronic trauma. (H&E)
