Table of Contents
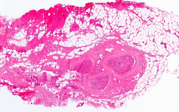
Washington University Experience | PERIPHERAL NEUROPATHY | 19 TRAUMATIC INJURIES | 22A1 Median nerve compression (Case 22) H&E 4X
Case 22 History ---- The patient is a 70-year-old man with right median neuropathy with a “carpal tunnel” clinical presentation. Operative procedure: Nerve biopsy. ---- 22A1 This low magnification image shows an H&E-stained right median nerve biopsy in this patient demonstrates multiple fascicles embedded in soft tissue with fibrosis. (H&E)
