Table of Contents
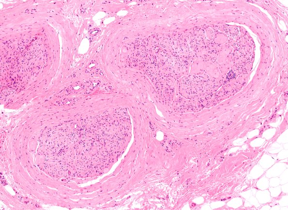
Washington University Experience | PERIPHERAL NEUROPATHY | 19 TRAUMATIC INJURIES | 22A2 Median nerve compression (Case 22) H&E 10X 3
22A2-4 There is marked expansion and fibrosis of the perineurium. In addition, there are numerous atypical Renaut bodies which appear more fibrotic than the typical wispy constructs seen in most cases in which they are encountered. Since Renaut bodies are often described to result from chronic compression the clinical scenario appears particularly valid in this case. Some vessels also appear thickened but there is no evidence of angionecrosis.
