Table of Contents
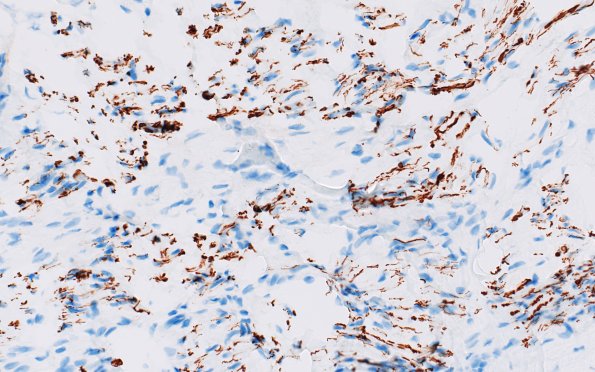
Washington University Experience | PERIPHERAL NEUROPATHY | 19 TRAUMATIC INJURIES | 22B3 Median nerve compression (Case 22) NF 40X 2
Higher magnification images showing loss of large axons and tiny residual crumbs which may reflect damaged, regenerating or disintegrating axons.
