Table of Contents
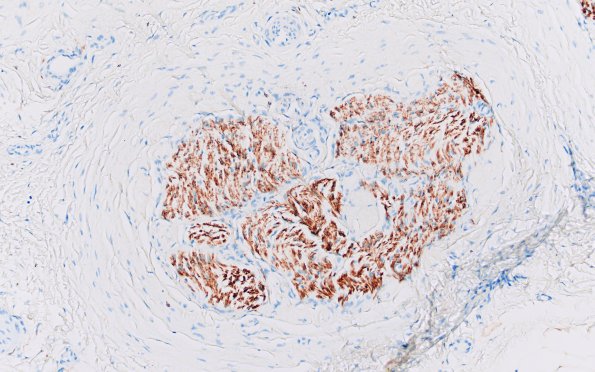
Washington University Experience | PERIPHERAL NEUROPATHY | 19 TRAUMATIC INJURIES | 22C1 Median nerve compression (Case 22) S100 20X 1
22C1,2 Schwann cells are strongly stained in these images and are excluded from Renaut bodies and perineurium. (S100 IHC)
