Table of Contents
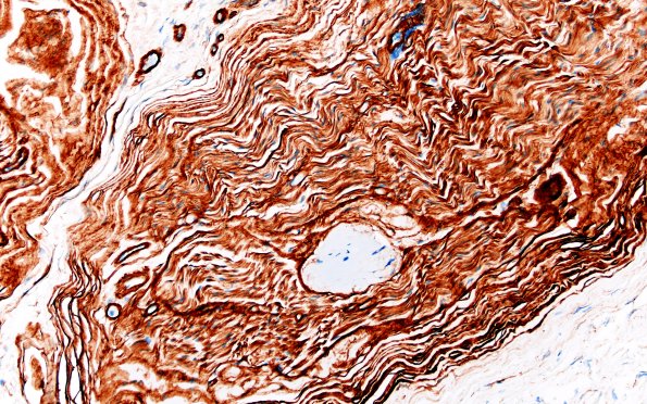
Washington University Experience | PERIPHERAL NEUROPATHY | 19 TRAUMATIC INJURIES | 22D4 Median nerve compression (Case 22) Coll IV 20X
This collagen IV immunostain labels vessels, perineurial hyperplasia and endoneurial Schwann cells but not Renaut bodies. (Collagen IV IHC)
