Table of Contents
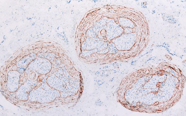
Washington University Experience | PERIPHERAL NEUROPATHY | 19 TRAUMATIC INJURIES | 22E2 Median nerve compression (Case 22) EMA 10X 5
EMA immunoreactivity highlights perineurial hyperplasia. In addition, many EMA labeled septae delimit individual nerve segments. These may represent preparation for branching or formation of intrafascicular micro-fascicles attempting to become an unusual form of neuroma. (EMA IHC)
