Table of Contents
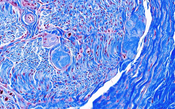
Washington University Experience | PERIPHERAL NEUROPATHY | 19 TRAUMATIC INJURIES | 22F2 Median nerve compression (Case 22) Trichrome 20X 3
Trichrome stains suggest an increase in endoneurial collagen and densely stains the Renaut bodies.
