Table of Contents
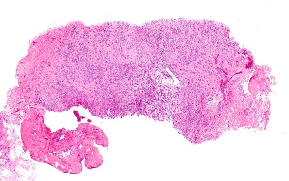
Washington University Experience | PERIPHERAL NEUROPATHY | 19 TRAUMATIC INJURIES | 23A1 Neuroma (Case 23) H&E 4X A
Case 23 History ---- The patient is a 29-year-old man with persistent pain and an upper trunk neuroma post-brachial plexus injury as part of a motorcycle accident. ---- 23A1-3 H&E-stained sections of the nerve biopsy material show an aggregate of innumerable 'mini fascicles' of nerve, consistent with a neuroma. These miniature fascicles are separated from each other by small bands of fibrous tissue, and in some areas appear more as single cells than true fascicles. (H&E)
