Table of Contents
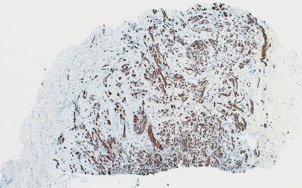
Washington University Experience | PERIPHERAL NEUROPATHY | 19 TRAUMATIC INJURIES | 23B1 Neuroma (Case 23) NF 4X 5
A low magnification image of the area 23A1 deeper into the block showing numerous axons gathered into mini-fascicles. (NF IHC)
