Table of Contents
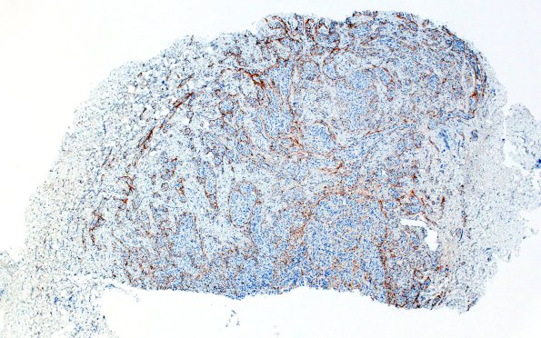
Washington University Experience | PERIPHERAL NEUROPATHY | 19 TRAUMATIC INJURIES | 23F1 Neuroma (Case 23) EMA 4X
This is the area of images #23B1, 23C1 and 23D1 stained for the perineurial marker EMA. EMA labels the perineurium around each miniature fascicle and shows areas with relatively more intact neural architecture
(EMA IHC)
