Table of Contents
« prev
next »
Washington University Experience
|
PERIPHERAL NEUROPATHY
|
19 TRAUMATIC INJURIES
|
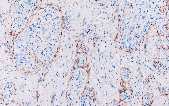
23F3 Neuroma (Case 23) EMA 20X
Each of the mini-fascicles is surrounded by a delicate perineurium (EMA IHC)
Image Info
Camera Maker:
Olympus
Camera Model:
DP74
Shutter Speed:
10/10989 sec
Metering Mode:
Multi-Spot
Gallery RSS
|
Archive View
|
Login
|
Powered by
Zenphoto