Table of Contents
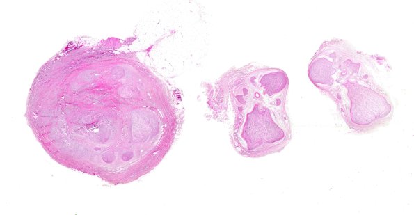
Washington University Experience | PERIPHERAL NEUROPATHY | 19 TRAUMATIC INJURIES | 24A1 Neuroma (Case 24) H&E WM
Case 24 History ---- The patient is a 39 year old male with clinical history of right perineal nerve injury. Operative procedure and findings: exploratory surgery right perineal nerve; right perineal nerve graft using right sural nerve. ---- 24A1-3 H&E stained sections show the presence of normal nerve fascicles followed by chaotic arrangement of a disorganized plexus of axons and Schwann cells within a fibrocollagenous stroma. The fascicles are small and surrounded by delicate perineurial processes (mini-fascicles). (H&E).
